Home » Blog » चम्पावत : खेलते-खेलते बच्चे ने निगला सिक्का, डॉक्टरों ने एंडोस्कोपी से बचाई जान

चम्पावत : खेलते-खेलते बच्चे ने निगला सिक्का, डॉक्टरों ने एंडोस्कोपी से बचाई जान

by

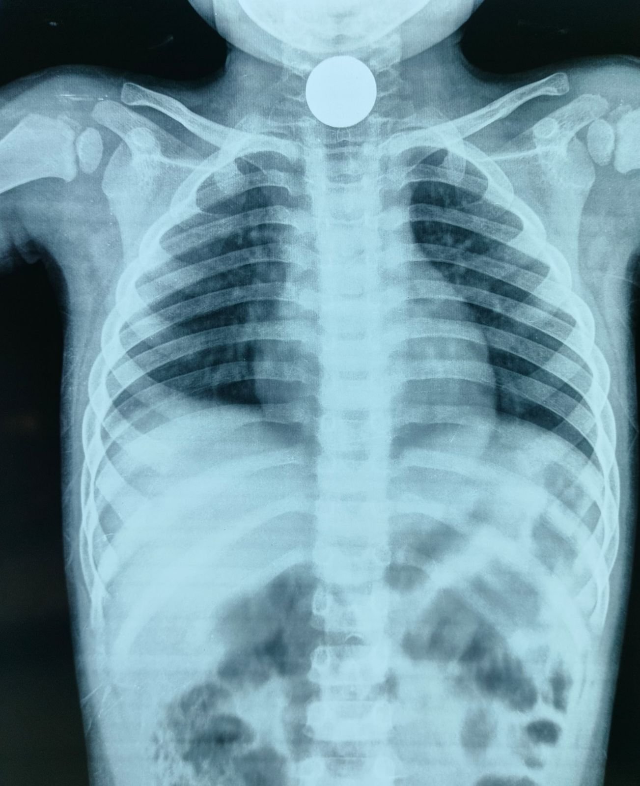
चम्पावत : शनिवार की सुबह चम्पावत के एक परिवार के लिए अचानक घबराहट और बेचैनी से भरी साबित हुई। खेलते-खेलते एक मासूम ने ऐसा कर दिया जिसकी किसी को उम्मीद नहीं थी — बच्चे ने गलती से एक सिक्का निगल लिया। बच्चे की साँसें उखड़ने लगीं, गले में तेज़ दर्द और घबराहट ने पूरे परिवार को झकझोर दिया। माता-पिता घबराए हुए तुरंत उसे लेकर जिला अस्पताल चम्पावत पहुंचे। अस्पताल पहुंचते ही डॉक्टर्स ने बिना समय गंवाए एक्सरे जांच की, और यह साफ़ हो गया कि सिक्का बच्चे के गले में अटक गया है।

स्थिति नाजुक थी — लेकिन उम्मीद बाकी थी।

बच्चे को तुरंत ऑपरेशन थिएटर ले जाया गया। वहाँ डॉक्टरों की टीम ने दूरबीन तकनीक (एंडोस्कोपी) के माध्यम से बेहद सावधानी से सिक्के को बाहर निकाला। यह आसान नहीं था, लेकिन चिकित्सा टीम की कुशलता और तत्परता ने एक बड़ी अनहोनी टाल दी। कुछ समय बाद जैसे ही बच्चे ने सामान्य रूप से सांस लेना शुरू किया, अस्पताल के कमरे में राहत की हवा भर गई। माता-पिता की आँखों में डर की जगह आँसू और मुस्कान दोनों थे। उन्होंने पूरी चिकित्सक टीम का तहे दिल से आभार जताया।

डॉ. नरेंद्र सिंह ने इस घटना के बाद सभी माता-पिता से अपील की “बच्चे अक्सर उत्सुकतावश छोटी-छोटी चीजें जैसे सिक्के, बटन बैटरियां, रिंग्स, खिलौनों के टुकड़े आदि मुँह में डाल लेते हैं। ये चीजें जानलेवा हो सकती हैं। कृपया ऐसी वस्तुओं को बच्चों की पहुँच से दूर रखें और खेलते समय उन पर नज़र रखें।” यह घटना एक बार फिर याद दिलाती है कि बच्चों के आसपास की दुनिया जितनी रंगीन होनी चाहिए, उतनी ही सुरक्षित भी।